Memorial Şişli Tüp Bebek Merkezi Web Sitemize Hoşgeldiniz. Randevu İçin: 444 7 888

  • tupbebek-genetik.com
  • tupbebek-genetik.com
  • tupbebek-genetik.com
  • tupbebek-genetik.com
  • tupbebek-genetik.com
  • tupbebek-genetik.com
  • tupbebek-genetik.com
  • tupbebek-genetik.com
  • tupbebek-genetik.com

AYIN KONUSU

Tüp Bebek

Cerrahi Yaklaşımlar

Bilimsel Yayınlar

Sık Sorulan Sorular

Gerçekleştirdiğimiz İlkler

Sizden Gelenler

Videolar

Memorial Şişli Tüp Bebek Merkezi

Memorial Şişli Tüp Bebek Merkezi

Kan hastası kardeşlerine hayat verdiler. ⁣

Kan hastası kardeşlerine hayat verdiler. ⁣

Blog

Yapay Zeka Destekli Sürekli Embriyo Görüntüleme ve İzleme (Time-Lapse)

Yapay Zeka Destekli Sürekli Embriyo Görüntüleme ve İzleme (Time-Lapse)

Şubat 2026Yapay Zeka Destekli Sürekli Embriyo Görüntüleme ve İzleme (Time-Lapse) Embriyo Seçiminde Daha Objektif ve Güvenli Bir Yaklaşı...
Uterin Septum

Uterin Septum

Ağustos 2024Uterin septum, ince bir duvarın uterusu kısmen veya tamamen böldüğü doğuştan gelen bir durumdur. Uterin septum küçük boyutlarda ...
Değerli Memorial Hastanesi Tüp Bebek Bölümü,

Değerli Memorial Hastanesi Tüp Bebek Bölümü,

Sevgili Peygamberimiz (s.a.v) " İnsanlara teşekkür etmeyen Allah'a da şükretmemiş sayılır" Tüm doktorlara, hemşirelere, tercümanl...
Semra Hocamızı bir gün ziyarete gelmek istiyoruz

Semra Hocamızı bir gün ziyarete gelmek istiyoruz

8 ve 12 numaralı embriyolarımızı sonsuzluğa uğurlamak istiyoruz. Okyanus'umuzun varlığında tüm emekleriniz için tekrar tekrar teşekkür e...
Bizi çok mutlu ettiniz

Bizi çok mutlu ettiniz

Başta Prof. Dr. Semra Kahraman olmak üzere transfer işlemimizi yapan Dr. Yücel Şahin'e, her muayenede güleryüzüyle bize moral veren Dr. Türkan ...
Sürecimizi özenle ve ilgi ile yönettiler

Sürecimizi özenle ve ilgi ile yönettiler

İlk tüp bebek denememizi yaklaşık üç yıl önce yaşadığımız ülke İspanya'da yaptık ve İspanyol doktorumuz, asla çocuk sahibi olamayacağımızı v...
Kanada'dan Türkiye'ye

Kanada'dan Türkiye'ye

Biz Kanada'da yaşıyoruz Memorial Şişli Hastanesi Tüp Bebek Merkezi karşımıza çıktığında ilk olarak Azat Alimov ile iletişim kurduk. Azat Bey ile ...
Mozaik Embriyo Transferi Hakkında Bilgilendirme

Mozaik Embriyo Transferi Hakkında Bilgilendirme

Ocak 2026Mozaik Embriyo Transferi Hakkında BilgilendirmePreimplantasyon Genetik Test (PGT-A), embriyodan biyopsi ile alınan hücrelerin kromozomal ya...
Endometriozis, Adenomyozis ve Tüp Bebek Tedavisinde Yumurta (Oosit) Kalitesi Üzerine Etkileri

Endometriozis, Adenomyozis ve Tüp Bebek Tedavisinde Yumurta (Oosit) Kalitesi Üzerine Etkileri

Aralık 2025Endometriozis, Adenomyozis ve Tüp Bebek Tedavisinde Yumurta (Oosit) Kalitesi Üzerine Etkileri Güncel Bilimsel Veriler Ne Söy...
Azalmış Yumurtalık Rezervi (DOR) ve Erken Yumurtalık Yetmezliğinde (POI) Genetik Yaklaşım

Azalmış Yumurtalık Rezervi (DOR) ve Erken Yumurtalık Yetmezliğinde (POI) Genetik Yaklaşım

Kasım 2025Azalmış Yumurtalık Rezervi (DOR) ve Erken Yumurtalık Yetmezliğinde (POI) Genetik YaklaşımDOR ve POI Nedir?Kadın yumurtal...
Tekrarlayan Gebelik Kaybı olan hastalara ASRM 2025 Kılavuzuna Göre Güncel Yaklaşım Nasıl olmalı? Hangi Testler Yapılma...

Tekrarlayan Gebelik Kaybı olan hastalara ASRM 2025 Kılavuzuna Göre Güncel Yaklaşım Nasıl olmalı? Hangi Testler Yapılma...

Ekim 2025Amerikan Üreme Tıbbı Derneği’ne göre “iki veya daha fazla spontan gebelik kaybı” tekrarlayan gebelik kaybı olarak tanıml...
Oosit (Yumurta) Dondurma Nedir, Kimlere ve Nasıl Uygulanır?

Oosit (Yumurta) Dondurma Nedir, Kimlere ve Nasıl Uygulanır?

Eylül 2025Oosit (Yumurta) Dondurma Nedir, Kimlere ve Nasıl Uygulanır?Yumurta dondurma işlemi, kadından elde edilen olgun yumurtaların özel bir hızlı ...
Antioksidanlar Erkek İnfertilitesinde Faydalı mı?

Antioksidanlar Erkek İnfertilitesinde Faydalı mı?

Ağustos 2025Antioksidanlar Erkek İnfertilitesinde Faydalı mı?Günümüzde çocuk sahibi olmak isteyen çiftlerin yaklaşık yarısında, sorunun kısmen ya da...
Yapay Zekâ (Artificial intelligence =AI) IVF Süreçlerini Nasıl Değiştiriyor?

Yapay Zekâ (Artificial intelligence =AI) IVF Süreçlerini Nasıl Değiştiriyor?

Temmuz 2025Yapay Zekâ (Artificial intelligence =AI) IVF Süreçlerini Nasıl Değiştiriyor?Yapay zekâ (Artificial Intelligence, AI), kadın hastalı...
Naturel (Doğal) Siklusta Dondurulmuş Çözülmüş Embriyo Transferi

Naturel (Doğal) Siklusta Dondurulmuş Çözülmüş Embriyo Transferi

Haziran 2025Naturel (Doğal) Siklusta Dondurulmuş Çözülmüş Embriyo Transferi Nedir? Transfer Zamanlaması Nasıl Yapılır?Naturel siklusta embriyo tr...
Akciğer Transplantasyonu Geçirmiş Bir Hastada Tüp Bebek Tedavisi

Akciğer Transplantasyonu Geçirmiş Bir Hastada Tüp Bebek Tedavisi

Mayıs 2025 Organ nakli geçirmiş kadınlarda gebelik, tıbbi riskler nedeniyle oldukça hassas bir planlama gerektirir. Özellikle akciğer transpl...
Yapay Zeka Tüp Bebek Tedavisinde Neleri Değiştiriyor?

Yapay Zeka Tüp Bebek Tedavisinde Neleri Değiştiriyor?

Nisan 2025Yapay zekâ, son yıllarda tıbbın birçok alanında olduğu gibi, yardımcı üreme teknolojilerinde (ART) de önemli bir dönüşüm sağlamaktadır....
Tekrarlayan Gebelik Kayıplarında Güncel Tanı ve Yönetim Yaklaşımları

Tekrarlayan Gebelik Kayıplarında Güncel Tanı ve Yönetim Yaklaşımları

Mart 2025 Tekrarlayan gebelik kaybı (TGK), hem fiziksel hem de psikolojik açıdan yıkıcı sonuçlara yol açabilen, kadınların yaklaşık %2-3’...
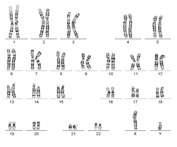
Kromozomal Translokasyonlar ve Klinik Sonuçları

Kromozomal Translokasyonlar ve Klinik Sonuçları

Şubat 2025Kromozomal Translokasyon Nedir?Kromozon genlerimizi içeren iplik şeklindeki DNA’nın çeşitli proteinler aracılığıyla paketlenm...
Sorularla Kapsamlı Genetik Taşıyıcılık Testi

Sorularla Kapsamlı Genetik Taşıyıcılık Testi

Ocak 2025Kapsamlı Genetik Taşıyıcılık Testi Nedir? Hangi Amaçla Kullanılır?Kapsamlı genetik taşıyıcılık testi, bireylerin otozomal resesif (çekin...
Euoploid embriyo transferlerinde gebelik oranlarına etki eden faktörler nelerdir?

Euoploid embriyo transferlerinde gebelik oranlarına etki eden faktörler nelerdir?

Aralık 2024Euploid (kromozomlari normal) embriyo transferleri neden her zaman gebelik ile sonuçlanmaz? Bu amaçla merkezimizde 2011 Ekim ile 2023 Şu...
Yumurta Dondurma (Oosit Vitrifikasyonu) ile Üreme Potansiyelini Koruma

Yumurta Dondurma (Oosit Vitrifikasyonu) ile Üreme Potansiyelini Koruma

Kasım 2024Yumurta dondurma, kadının yumurtalıklarından alınan sağlıklı yumurtaların ileri bir tarihte kullanılmak üzere dondurulmasını sağlayan bir ...
İnfertilite Tedavilerinde Kullanılan İlaçlar ve Kanser Riski

İnfertilite Tedavilerinde Kullanılan İlaçlar ve Kanser Riski

Ekim 2024İnfertilite tedavilerinde kullanılan ilaçlar, hormon seviyelerini değiştirerek birden fazla yumurtanın olgunlaşmasını sağlar. Ancak bu ...
Embriyo Dondurma ve Çözme İşlemi; Avantajlar ve Riskler

Embriyo Dondurma ve Çözme İşlemi; Avantajlar ve Riskler

Eylül 2024Embriyo dondurma ve çözme işlemi, modern üreme tıbbında önemli bir yer tutmaktadır. Bu yöntem, çeşitli nedenlerle gebeliği ertelemek is...
Uterin Septum

Uterin Septum

Ağustos 2024Uterin septum, ince bir duvarın uterusu kısmen veya tamamen böldüğü doğuştan gelen bir durumdur. Uterin septum küçük boyutlarda ...
Mayıs ve Temmuz aylarında katıldıgımız kongreler ve sunumlarımız

Mayıs ve Temmuz aylarında katıldıgımız kongreler ve sunumlarımız

Temmuz 2024 Memorial Şişli Hastanesi Üremeye Yardımcı Teknolojiler ve Üreme Genetiği Merkezi, bu yıl Mayıs ayında yirmi birincisi düzenlene...
Prematur ovaryan yetmezlik nedir?

Prematur ovaryan yetmezlik nedir?

Haziran 2024 Prematur Ovaryan Yetmezlik (POI), 40 yaşından önce başlayan 4-6 aydan uzun süren amenore (adet gecikmesi) veya oligomenore (35 günd...
7-10 Temmuz tarihleri arasında Amsterdam’da yapılacak 40. ESHRE (Avrupa İnsan Üreme ve Embriyoloji Derneği) Kongre...

7-10 Temmuz tarihleri arasında Amsterdam’da yapılacak 40. ESHRE (Avrupa İnsan Üreme ve Embriyoloji Derneği) Kongre...

Mayıs 2024 40. ESHRE (European Society of Human Reproduction and Embryology) kongresi bu yıl 7-10 Temmuz tarihleri arasında Amsterdam'da ge...
PRP (Trombositten Zengin Plazma) tedavisinin azalmış yumurtalık rezervi (DOR) üzerindeki etkinliği var mı?

PRP (Trombositten Zengin Plazma) tedavisinin azalmış yumurtalık rezervi (DOR) üzerindeki etkinliği var mı?

Nisan 2024 PRP, Platelet-Rich Plazma -Trombosit Açısından Zengin Plazma anlamına gelir. Pıhtılaşma ve iyileşme için gerekli olan trombosi...
Semen analizi ve spermin şekil bozuklukları (teratozoospermi)

Semen analizi ve spermin şekil bozuklukları (teratozoospermi)

Mart 2024Semen analizi çocuk sahibi olamayan çiftlerde ilk olarak değerlendirilmesi gereken ve sperm üretimi ile ilgili en faydalı bilgiyi veren test...
Prof. Dr. Semra Kahraman; Memorial Hastanesi'nin endometriosis ve adenomyozis verilerinin sonuçlarını “E...

Prof. Dr. Semra Kahraman; Memorial Hastanesi'nin endometriosis ve adenomyozis verilerinin sonuçlarını “E...

Şubat 2024Prof. Dr. Semra Kahraman, “Endometriosis and Adenomyosis Bench to Bedside” başlıklı kongrede Memorial Hastanesi'nin end...
Nedeni açıklanamayan infertilite (kısırlık)

Nedeni açıklanamayan infertilite (kısırlık)

Ocak 2024 Düzenli cinsel ilişkisi olan çiftlerde 1 yıl korunmasız ilişkiye rağmen gebelik elde edilememesine infertilite denilmektedir. Yapıla...
Kromozomları Normal (Euploid) Embriyo Transferlerinde Canlı Doğuma Ulaşma Oranınını Etkileyen Faktörler

Kromozomları Normal (Euploid) Embriyo Transferlerinde Canlı Doğuma Ulaşma Oranınını Etkileyen Faktörler

Aralık 2023 Kromozomları Normal (Euploid) Embriyo Transferlerinde Canlı Doğuma Ulaşma Oranınını Etkileyen Faktörler Preimplantasyon genetik testi (P...
Zor Tüp Bebek Denemelerinde Güncel Genetik Yaklaşımlar

Zor Tüp Bebek Denemelerinde Güncel Genetik Yaklaşımlar

Mayıs 2023Türk Üreme Sağlığı ve İnfertilite Derneği tarafından 26.04.2023’te düzenlenen webinarda Memorial Şişli Tüp Bebek ve Üreme Genetiğ...
Preimplantasyon Genetik Tanı Uluslararası Kongresi

Preimplantasyon Genetik Tanı Uluslararası Kongresi

Nisan 2023Preimplantasyon Genetik Tanı Uluslararası Kongresi’nin 20. toplantısı 17-19 Nisan 2023’te Paris’te ger...
Tüp Bebek Tedavilerimizde Yıllar İçinde Değişen Parametreler

Tüp Bebek Tedavilerimizde Yıllar İçinde Değişen Parametreler

Mart 2023İstanbul Memorial Şişli Hastanesi, Tüp Bebek Merkezi’mizde 2022 yılına ait 4000’den fazla olgumuzun sonuçları daha önceki ...
Dondurulmuş Çözülmüş Embriyo Transferlerinde Progesteron Hormonu ile Luteal Fazın Desteklenmesi

Dondurulmuş Çözülmüş Embriyo Transferlerinde Progesteron Hormonu ile Luteal Fazın Desteklenmesi

Ocak 2023Tüp bebek sürecinde elde edilen embriyoların transferleri iki şekilde gerçekleştirilmektedir. 1)Yumurta toplama işleminden sonraki 3 ile 5 ...
Mozaik embriyo transferlerinde güncel durum

Mozaik embriyo transferlerinde güncel durum

Preimplantasyon Genetik Tanı Uluslararası Cemiyeti'nin (PGDIS) mozaik embriyoların transferi için oluşturduğu güncel Position Statement, Reprod...
Yapay Zeka (Artıfıcıal Intelligence) ile Embriyo Seçimi

Yapay Zeka (Artıfıcıal Intelligence) ile Embriyo Seçimi

Tüp bebek (IVF) tedavilerinde çoğul gebeliklerin yenidoğan ve annede oluşturabileceği klinik komplikasyonlardan kaçınmak ve gebeliğe ulaşma süresini ...
İnfertilite nedir? Hangi durumlarda infertilite merkezine başvurulmalıdır?

İnfertilite nedir? Hangi durumlarda infertilite merkezine başvurulmalıdır?

İnfertilite, kadın veya erkek üreme sisteminde çocuk sahibi olmayı engelleyen yapısal, hormonal, fonksiyonel veya genetik bir bozukluğun sonucu...
Tedavi Yöntemleri Nelerdir?

Tedavi Yöntemleri Nelerdir?

Ovulasyon indüksiyonu (Yumurta gelişiminin uyarılması)Düzenli adet gören bir kadında yumurtalıklardan her ay bir adet yumurta seçilir ve yumurtla...
Obezite Doğurganlığı Etkiler mi?

Obezite Doğurganlığı Etkiler mi?

Obezite, insülin direnci ile yakından ilişkili, artmış vücut yağ kitlesiyle karakterize bir hastalıktır ve dünyada son 20 yılda dramatik olarak art...
Tüp Bebek Tedavisi Hangi Durumlarda İptal Edilebilir?

Tüp Bebek Tedavisi Hangi Durumlarda İptal Edilebilir?

1) Kullanılan yumurta uyarıcı ilaçların dozunun arttırılmasına rağmen yetersiz yumurta gelişimi olması ve tedaviye devam etmenin faydası olmayacağı ...
Başarısız Tüp Bebek Uygulamasından Sonra Umutsuzluğa Kapılmayın

Başarısız Tüp Bebek Uygulamasından Sonra Umutsuzluğa Kapılmayın

Çocuk sahibi olmak için “Tüp bebek” yöntemine başvuran ancak denemelerinde başarısız olan çiftler genellikle hayal kırıklığ...
Tüp Bebek Uygulamasında Yaş Sınırı

Tüp Bebek Uygulamasında Yaş Sınırı

Kadının yaşı önemli bir faktördür. Ancak yumurtalık kapasitesinin iyi olduğu kabul edilen 40 yaş ve üstü kadınlarda preimplantasyon genetik tanı...
Laparoskopi-Histeroskopi (Kapalı Rahim Ameliyatı)

Laparoskopi-Histeroskopi (Kapalı Rahim Ameliyatı)

Laparoskopi, halk arasında kapalı ameliyat ya da kansız ameliyat olarak anılan, karnınıza büyük bir kesi yapılmadan ameliyat yapılmasının bir yoludur...
Prof. Dr. Kahraman’ın yazarları arasında bulunduğu mozaik embriyo transferleri sunumu ASMR kongresinde birincilik ödülü...

Prof. Dr. Kahraman’ın yazarları arasında bulunduğu mozaik embriyo transferleri sunumu ASMR kongresinde birincilik ödülü...

Kasım 2023Dünyadaki en önemli IVF toplantılarından olan ASRM bu yıl 79. Kez New Orleans, Amerika Birleşik Devletleri’nde gerçek...
Tekrarlayan Gebelik Kayıpları

Tekrarlayan Gebelik Kayıpları

Şubat 2023 Gebeliğin 24. haftasından önce 2 veya daha fazla gebelik kaybının olması tekrarlayan gebelik kaybı olarak tanımlanmaktadır. Oluşan tü...
Amerikan İnfertilite ve Üreme Derneği Kongresi

Amerikan İnfertilite ve Üreme Derneği Kongresi

Ekim 2023Amerikan İnfertilite ve Üreme Derneği'nin 2023 kongresine 4 bilimsel çalışmayla katıldık, son 10 yılda sunduğumuz bilimsel çalışmala...
IVF Tedavisinden Önce Aşıların Önemi: Sağlıklı Bir Başlangıç Sağlama

IVF Tedavisinden Önce Aşıların Önemi: Sağlıklı Bir Başlangıç Sağlama

Eylül 2023Tıp ve tüp bebek (IVF) uygulamalarındaki gelişmeler, çiftlerin anne baba olabilmeleri için çeşitli tedavi seçenekleri sunmaktad...

30 Yılda 55 Binden Fazla Bebek

Memorial Şişli Hastanesi’nde yıllık 5000’e yakın tüp bebek tedavisi gerçekleştiriliyor.

Önemli Linkler


Y kromozomu
PGT Nedir?

Online Danışma

Kişisel verilerin korunması kanununu okudum anladım (KVKK Aydınlatma Metni)
Pazarlama ve istatistik faaliyetleri amaçlarıyla formda verdiğim kişisel verilerin işlenmesine açık rıza veriyorum
“Bu form ile, e-posta veya telefon yoluyla bize ulaşmanız hâlinde vereceğiniz kişisel bilgileriniz talep, öneri, şikayet ve iletişim süreçlerinde sizinle iletişime geçilmesi ve göndereceğiniz mesajların cevaplanması amacıyla tarafımızca işlenecek ve gerekli güvenlik önlemleri alınarak muhafaza edilecektir.Kişisel Verilerin Korunması Hakkında Bilgilendirme metnine buradan ulaşabilirsiniz.”

Translate   X

  • Türkçe
  • English
  • العربية
  • Pусский
  • Spanish
  • France
  • Germany
  • Azerbaycan
  • Ukraina
  • Italy
  • Bulgaria