Kesintisiz görüntüleme sistemlerinde, gelişim parametreleri olarak öncelikle bölünme zamanlamaları, fragmantasyon oranlari, blastomer boyutlari, doğrudan bölünmenin (direk klivaj) ve ters bölünmenin (reverse klivaj) etkileri incelemiş ve implantasyon(tutunma) potansiyeli üzerinde negatif etkileri olduğu gösterilmiştir...
Eylül 2020
Tüp bebek tedavisinde kesintisiz görüntüleme yöntemi yüksek implantasyon potansiyeline sahip embriyoların seçilmesi ve çoğul gebeliklerin azaltılması için yararlı bir yöntem olarak kabul edilir. Kesintisiz görüntüleme sistemlerinde gelişim parametreleri olarak öncelikle bölünme zamanlamaları, fragmantasyon oranları, blastomer boyutları, doğrudan bölünmenin (direk klivaj) ve ters bölünmenin (reverse klivaj) etkileri incelemiş ve implantasyon (tutunma) potansiyeli üzerinde negatif etkileri olduğu gösterilmiştir. Bu parametreler sekiz ana grupta incelenmiş ve aşağıdaki şekilde şematize edilmiştir;

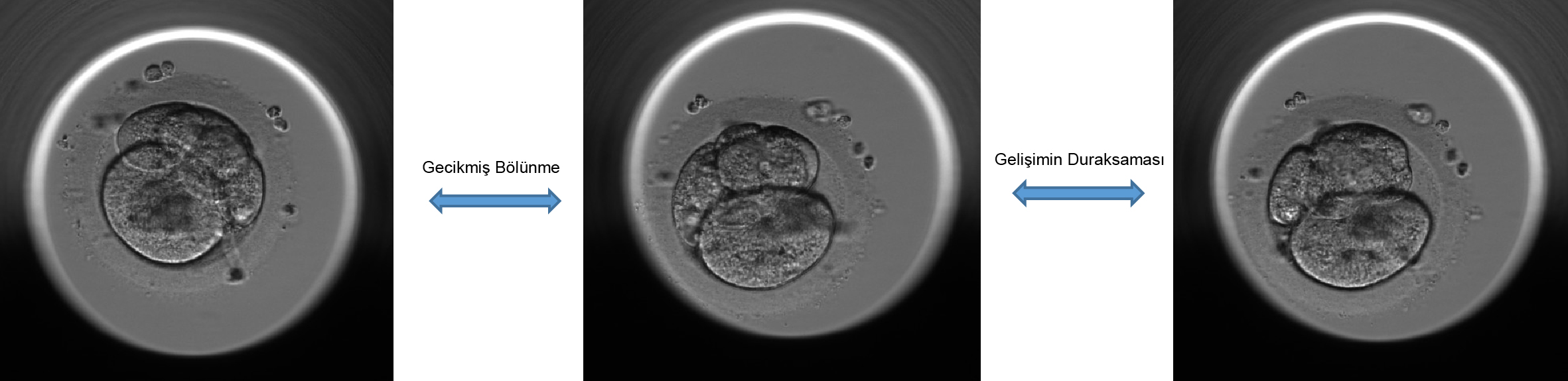
Çok hızlı veya çok yavaş bölünmeler embriyolar için zayıf gelişim potansiyelini gösterir. Çok hızlı bölünmeler, genetik materyalin yanlış ayrılmasına ve anöploidiye yol açabilirken, çok yavaş olan bölünmeler hücre döngüsünü durduran hücre döngüsünün kontrol noktalarından birini etkinleştiren DNA hasarının veya kromozomal bozuklukların bir işareti olabilir.
Normal gelişim sürecinde embriyoların sahip olduğu blastomerler eşit büyüklükte olmalıdır. Farklı boyutlardaki hücreler bölünme sırasında genetik materyalin eşit olmayan yani bir blastomerin önemli ölçüde ve diğerlerinden daha büyük olması aktifleştirilmiş bir kontrol noktasını veya sitokinezin başarısız olduğunu gösterir. Bu tür blastomerler birden fazla çekirdek içerir ve bu durum embriyonun gelişim potansiyelini azaltır.

Fragmantasyon ve hücre dışı sitoplazmik yapıların oluşumu da embriyo gelişim potansiyeli ve tutunma oranı ile negatif korelasyon gösterme eğilimindedir. Bununla birlikte fragmantasyon programlanmış hücre ölümünün bir parçasıdır ve bu nedenle şiddetli genetik anormalili blastomerleri spontan elimine edilmesinin bir yoludur. Mutlaka kötü bir bulgu olarak düşünülmez. Bu nedenle, bölünme hızı ve blastomerlerin şekli gibi diğer kriterler dikkate alındığında daha az fragmanlı embriyolar daha iyi kalite embriyolar olarak kabul edilebilir.

Doğrudan Bölünme bir blastomerin doğrudan 3 ya da daha fazla blastomere (hücreye) bölünmesi anlamanına gelir.
Normal hücre döngüsünde genetik mataryelin bir kopyasının oluşması yani kendini eşlemesi ve hücrenin bölünmesi yaklaşık 10-12 saat sürer. Doğrudan bölünme gösteren embriyolarda ise bu bölünme süresi 5 saatin altındadır. Bu durum bize genetik materyalin kopya oluşumunda bir düzensizlik olduğunu gösterir ve kromozomların hatalı dağılımına neden olur. Bu durum aynı zamanda hücre bölünmesinde düzensizlikler ve farklı boyutlu hücrelerin oluşumuna yol açar. Sonuç olarak embriyoların ileri gelişim potansiyelerinde ve blastokist oranlarında azalma olur.

Ters bölünme ise sitokinezin başarısız olması durumunda veya hücre bölünme sürecini tamamlayamaması ile tek hücre halıne geri donmesidir. Ters bölünmeye hücre iskeletinin işlevselliğinin azalması, özellikle sitokinezin devamından sorumlu aktomiyosin bileşeni veya hücre zarındaki bir anomalinin neden olduğu düşünülmektedir. Ayrıca dondurma işleminin de terse bölünmeye neden olabileceği bildirilmiştir.
Hücre sayısı ve ters bölünmenin meydana geldiği saat aralığına bağlı olarak embriyolar 3 hücreden tekrar 2 hücreye dönerek kromozom sayısının katlanarak artması ya da mozaik yani normal ve poliploid hücrelerin bırarada bulunması durumu oluşur. Bu nedenle ters bölünmenin embriyo kalitesine etkisinin derecesi farklılıklar gösterebilmektedir.

Kesintisiz görüntüleme, döllenme sonrası hücre bölünmesinin simetrik olup olmamasının değerlendirilmesi embriyonun gelişim potansiyeli hakkında bilgi verir. 4 hücreli aşamada, embriyoların tetrahedral geometri yani 6 farklı noktadan hücrelerin birbirleri ile temas etmesi ile dizilimi beklenir. Ancak bazı dizilimler düzlemseldir hücre içi 6’dan az temas noktası izlenir. Düzlemsel blastomerler varlığında gelişim hızı normal olsa bile, blastokist oluşumu, implantasyon ve gebelik oranlarında azalma rapor edilmiştir.


Sonuç olarak kesintisiz embriyo takip sistemi embriyo gelişiminde embriyoların seçim ve elenmesinde önemli katkılar sağlamaktadır. Simetrik ve senkron bölünerek gelişen embriyoların blastokist evresine ulaşma ve gebelik oluşturma potansiyelleri daha yüksek iken doğrudan bölünme ile hücre sayısının başlangıçta hızlı artması ya da ters bölünme izlenen hücrelerin tekrar geriye birleşmeleri gibi gelişimi negatif etkileyen parametreler ileri embriyo gelişiminde yavaşlamalara neden olmaktadır. Merkezimizde tutunma potansiyeli düşük olan bu embriyolar sürekli izleme cihazı ile değerlendirilerek elenirken iyi gelişen embriyolara transfer için öncelik tanınmaktadır.
Biyolog Yeşim Kumtepe
Fotoğrafların tamamı Şişli Memorial Hastanesi Embriyoloji Laboratuvarına aittir